La retina: órgano diana de la diabetes
Por: Profesor José María Ruiz MorenoCatedrático de Oftalmología y Director Médico de IER Baviera
Debido a que el organismo de los pacientes con diabetes no utiliza ni almacena el azúcar de forma apropiada se produce una subida del nivel de azúcar en la sangre que puede dañar algunos órganos. Lamentablemente, la retina es una de las partes del cuerpo que más pueden sufrir los efectos negativos de la diabetes, siendo la Retinopatía Diabética, una de las afecciones más comunes. Tanto es así, que más del 50% de los pacientes que sufren durante más de 10 años Diabetes tipo 1 desarrollan la enfermedad, cifra que aumenta hasta el 98% de los que la padecen durante más de 20 años. En el caso de la Diabetes tipo 2, el desarrollo de la retinopatía diabética se presenta en el 60% de los casos.

¿Qué es la Retinopatía Diabética?
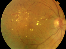
La descompensación metabólica producida por la diabetes puede dañar las paredes de los vasos sanguíneos que nutren la retina. Si la enfermedad se encuentra en un estado avanzado se pueden llegar a formar nuevos vasos sanguíneos y prolifera tejido fibroso en la retina, lo que provoca un deterioro de la visión. La imagen enviada al cerebro se vuelve borrosa por diferentes causas.
En los casos más graves se producen sangrados intraoculares y desprendimiento de retina que puede conducir a una grave pérdida de visión. Su incidencia es tan alta que la retinopatía diabética es la causa más frecuente de ceguera legal entre los 20 y los 65 años en los países desarrollados.
Por su parte, el edema macular es una de las complicaciones que pueden aparecer asociadas a la retinopatía diabética y se caracteriza por una pérdida de la visión central que puede provocar la percepción distorsionada de los objetos. Es la principal causa de pérdida de visión en el paciente diabético.
¿Qué síntomas tiene?
Esta es una enfermedad que no suele ser detectada hasta que está muy avanzada, por eso es fundamental revisarse la vista periódicamente y acudir urgentemente al especialista si se padecen estos síntomas:
- Visión borrosa.
- Aparición de “moscas flotantes”.
- Visión de sombras.
- Mala visión nocturna.
Tratamiento:
El mejor tratamiento para la retinopatía diabética es la prevención. Un estricto control del azúcar en la sangre reducirá de forma significativa el riesgo a largo plazo de una pérdida de la visión.
En caso de que la retinopatía diabética esté asociada a la hipertensión arterial, se deberá controlar la presión arterial, y evitar hábitos de vida poco saludables como la obesidad, el tabaquismo o el sedentarismo, que pueden agravar la diabetes.
Además los pacientes diabéticos deberán realizarse sin excepción revisiones anuales del fondo del ojo y no esperar a que empiece la pérdida de visión.
El tratamiento más frecuente de la retinopatía diabética es la fotocoagulación con láser, ya sea en una o varias sesiones. Según sea las características del paciente y el grado de desarrollo de la enfermedad el uso del láser se puede combinar con inyecciones intravítreas de medicación antiangiogénica. Las posibles complicaciones se tratarán con cirugía.
Video explicativo:
Clínica Baviera dispone de una de las Unidades de Retina más punteras de España donde se trata toda clase de enfermedades retinianas, desde las más frecuentes a las más complejas.
Se denomina Instituto Europeo de la Retina (IER Baviera), y está formada por un excelente un grupo de especialistas dirigidos por el Profesor José María Ruiz Moreno, catedrático de Oftalmología y uno de los especialistas más reconocidos en España en el área de Retina y Vítreo.
Para más información:
Teléfono: 902.235.235
Mail: ier@clinicabaviera.com
www.clinicabaviera.com/ier

